正中优配,通过实时行情分析,投资者能够准确把握市场趋势,做出精准的投资决策。
主要特点配资官方网站 1、履带式钻车体积小,可实现狭窄地域顺利通过,尤其适合综采掘进工作面快速超前钻探工作。 2、履带式钻车扭矩大、转速高。 3、钻臂高度可根据....
【大河财立方消息】7月29日配资官方网站,河南投资集团有限公司2025年面向专业投资者公开发行公司债券项目状态更新为“提交注册”。 该债券拟发行金额150亿元,....
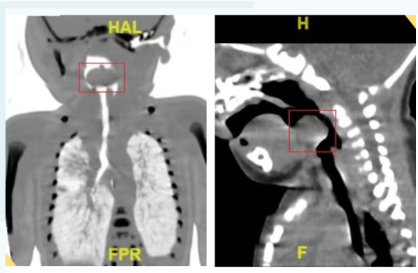
齐鲁晚报·齐鲁壹点 姜曼配资官方网站 近日,临沂市妇幼保健院收治了一名会厌囊肿的新生儿。患儿出生两天因呼吸困难转入该院,CT显示在会厌上方有一个23×17×11....
正中优配文章加载中,请稍后...